Göz ve Göz Çevresi Estetiği
Göz kapağı, gözümüzü korumak ve nemli tutmak dışında estetik bir değere de sahiptir. Kapak cildinin fazlalığı, kaslarının zayıflığı, nörolojik, konjenital veya edinsel sebeplerle kapak fonksiyonlarının bozulma ihtimali vardır.
En sık rastlanan fonksiyon bozukluğu göz kapağı düşüklüğüne (pitoz) sebep olan durumlardır. Genellikle kas yetersizliği veya cilt fazlalığına bağlı olsa da, alın sarkması veya kaş düşüklüğü gibi yalancı göz kapağı düşüklükleri de görülebilmektedir.
Fox eyes, cat eyes, badem göz gibi isimler altında göz çevresi ile ilgili ameliyatlar da yine yüzün bütünselliği ile ele alınmalı, kaş yaparken göz çıkartılmamalıdır. Göz çevresi ile güzelleşir.
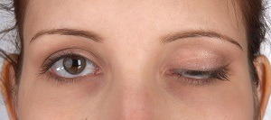
Pitoz Nedir?
Üst göz kapağı düşüklüğüne pitoz denir, görme fonksiyonunu olumsuz etkilemekle kalmaz, estetik anlamda da hoş olmayan bir görünüme sebep olabilir. Tedavisi öncelikle tanının doğru konulması ile mümkündür. Zira yalancı pitoz ile gerçek pitoz işin ehli olmayan biri tarafından karışıtırılabilse de, bir plastik cerrah bunu kolaylıkla ayırt eder. Ve tedavileri çok farklıdır.
Cilt fazlalığı durumunda operasyon nispeten basittir. Ancak kas yetmezliği veya fazlalığı ile nörolojik durumlarda tanı kadar tedavi de sıkıntılı olabilmektedir. En kötüsü yalancı göz kapağı düşüklüğünün doğru tanınamaması sebebi ile yapılan göz kapağı operasyonlarıdır. Burada sorun göz kapağı dışında olup, genellikle sinir sisteminde veya alındadır. Kaşların da düşük olması tanıya yardımcı olabilir. Bu durumda ilk hedef alın ve kaşlar olmalıdır.
Cerrahi Teknik !
Göz kapağı cerrahisi mümkünse yalıtkan göz koruyucularla yapılmalıdır. Basit cilt fazlalığında bile çevre dokuların durumu dikkate alınmalıdır. Göz kapağı cerrahisi estetik ve fonksiyonel yaklaşımla yapılmalıdır.
Bazen kombine girişimler gerekebileceği, bu yüzden hekimin yalnızca göze değil, çevresine de hakim olması gerekmektedir. Plastik cerrahi uzmanları bundan daha fazlasına hakim oldukları için nadiren sorun yaşarlar. Yalnızca cerrahi değil; botilinum toksini, ip asma teknikleri, altın iğneli radyo frekans, lazer, mezoterapi ve PRP gibi pek çok işlemde yetkin olmak elzemdir.
Yorgun, sinirli ve hasta görünüşlü göz kapağı operasyonu geçirmiş hastalara baktığınızda ortak nokta plastik cerrah dışında müdahale edilmiş olmasıdır.






Blefaroplasti Değerlendirmesi
Hasta değerlendirilirken hastayı bir bütün olarak ele almak önemlidir. Yakın zamanda yüz germe operasyonu planlanan bir hastaya alt göz kapağı operasyonu yapmak boşa harcanmış bir emek olabilir. Zira yüz germede cilt fazlalığı alt göz kapağında birikebileceği için yeniden müdahale etmek gerekebilecektir. Siz de şimdi aynanın karşısına geçip ellerinizle yanaklarınızı arkaya ve yukarı doğru çekin. Bu yüz germedekine benzer bir durum oluşturur. Bu sırada alt göz kapaklarınızda biriken cilt fazlalıklarını görüyor musunuz? İşte plastik cerrah tüm bu durumları ve daha fazlasını öngörerek hareket edebilecektir.
Ameliyat sonrası nadiren hastanede kalınması gerekebilmektedir. İki günün sonunda hastalarımız banyo dahil tüm sosyal yaşamlarına geri dönebilmektedirler. Bir hafta sonra dikişler alınabildiği gibi kendiliğinden eriyebilen dikişlerle de ameliyat bitirilmiş olabilmektedir.
Badem Göz & Fox Eyes
Bu konu hep karıştırılmaktadır.
Fox eyes: Şakak seviyesinden gözü de etkileyecek şekilde, kaş dahil göz çevresi dokuları yana ve yukarıya çekme işlemidir.
Badem Göz: Gözün dış köşesini dışa ve bazen de yukarıya çekme işlemidir. Bu işlemde göz kenarı kemik dokuya sabitlenir. Diğer adı kantoplasti operasyonudur.
Bu ameliyatlar lokal veya genel anestezi ile yapılabilmektedirler. Her iki ameliyatta da hastane yatışı pek olmamaktadır. Ameliyat sonrası ödem, morluk ve batma dışında sorun yaşanmamaktadır.
Kimler Göz Kapağı Ameliyatından Sakınmalı?
Alın bölgesi geniş, kaşları düşük, cilt elastikiyeti kaybolmuş, ciltaltı yağ oranı azalmış kişliler göz kapağı ameliyatı öncesi mutlaka plastik cerrahlarına danışmalıdırlar.
Göz kapağı ameliyatı için gelen hastalarımızın %50'sini ameliyatsız çözüme ulaştırabilmekteyiz. Bunu bazen kaş, alın ve şakak operasyonları ile cerrahi olarak, bazen de lazer, altın iğne RF, PRP, mezoterapi gibi cerrahi dışı yöntemlerle sağlayabilmekteyiz.
Gözaltı ışık dolgusu yanlış yapılmış veya göz çevresinde ilaçlı veya cihazlı herhangi bir işlem yaptırmış olan hastalar da ameliyat öncesi bu durumu mutlaka belirtmelidirler.




Plastik Cerrah mı Yapmalı ?
Göz estetiği sadece gözü ilgilendiren bir uygulama olmayıp, tüm yüzü veya tüm cildi birlikte değerlendirmeyi gerektirdiği için mutlaka plastik cerrah tarafından yapılmalıdır.
Yanlış bir inanışa göz estetiğini göz doktoruna yaptıran hastalara da sırtımızı dönmemekteyiz. Ancak başkası tarafından yapısı bozulmuş bir dokuya estetik yapmak şöyle dursun, dokuyu kurtarmak bile her zaman mümkün olmayabilmektedir.
Başkasının yanlış pişirdiği aşı, pilava çevirmek; yeniden pilav yapmaktan daha zordur. Üstelik işlem başarısı da daha düşük olmaktadır. Siz siz olun, işi sadece ehline yaptırın. Mağdur olmayın!
Üst Göz Kapağı Ameliyatı = Upper Blepharoplasty
Ameliyat süreci lokal anestezi ile olup, gözler açıkken görünmediği gibi, gözler kapalıyken dahi neredeyse görünmeyecek bir iz bırakabilmektedir.

Sosyal Medyada Biz
Estetik cerrahi ve Sağlık turizmi
İletişim
BİZE ULAŞMAK İÇİN
© 2014-2025. All rights reserved.
Bu web sitesi hasta ve hasta yakınlarına sadece genel bilgi vermek amacıyla hazırlanmıştır. Bu web sitesinde verilen bilgiler doktor tedavisinin yerine geçmeyi amaçlamaz. Sadece bu web sitesindeki genel bilgilere bakarak tedavi veya müdahale kesinlikle önerilmez.
